Thick film interpretation
From MalariaETC
Navigation: Return to Main Malaria Index
| OVERVIEW OF THICK FILMS |
A thick film is prepared by placing a small drop of blood on a slide then spreading it in a circular motion. The thick layer acheived is then air-dried without fixation.
The principles are:
- The blood layer will be many layers thick (varying from 6-20 accross the specimen)
- The erythrocytes are unfixed, so will be lysed during staining appearing only as debris.
- The Giemsa stain will stain and distinguish the remaining white cells and parasites.
- This concentration effect allows parasites to be detected with high sensitivity
Typical appearances of a case of P.falciparum with easily detected trophozoites are shown below.
-
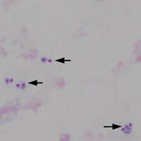
Low magnification view for scale, 3 regions marked
-
Region A: a single disrupted trophozoite
-
Region B: 5 trophozoites in three group
-
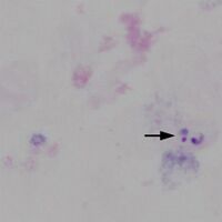
Region C: 2 trophozoites in one group
"
Note the differences in recognition - the typical ring form and vacuole of the parasite are not as easy to distinguish and chromatin dots may appear to separate from parasite cytoplasm while the absence of intact red cells takes away important clues to parasite size, distribution within the red cell, and any red cell changes. This is illustrated in the image below
-
Two ring frms of P.falciparum
-
High-power image of the parasites
Detailed Sections:
Section 1: strengths and weaknesses of thick malaria films a comparison different morphological approaches to malaria diagnosis.
→ Click to see comparison of thick and thin film approaches
Section 2: recognising parasites on thick films Initial assessment - recognising staining debris and identifying parasites.
→ Click to see the approach to identify parasites and distinguish debris
Section 3: Species identification on thick films - the possibilities and limitations of species identification.
→ Click to see examples of malaria species, stage or pigment on thick films