Thick films - parasites and debris
From MalariaETC
Navigation
>Main Malaria Index
>>Thick film - main page
>>>Current page: Distinguishing features on thick film
Recognising parasites on malaria thick films
NOTE: the images are at relatively low power - to view them properly please click on the image to view in larger form, then use the "back" button on your browser to return to the referring page.
Recognising "debris" on thick films
The parasites on a thick film lie within a background of white cells, platelets and various red cell components that have not been fully lysed. It is important to recognise these different features (which may vary a little between films depending on thickness and staining). A film area without parasites is shown below.
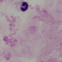
-
A
-
B
Normal background elements of a thick malaria film. The neutrophil (A) is recognisable by the characteristic nuclear shape but show artefactual distortion: in this case the chromatin detail is lost and there is no visible membrane outline or granular content. A careful look at the group of structures (B) suggests that they are part of a large group of clumped platelets formed when the film was prepared. Finally, the more amorphous material (C) most likely represents fibrin clot and un-lysed red cell debris.
Precise appearances can vary and additional examples are shown below.
-
C
-
D
In the example C the red cells are incompletely lysed in a less thick area of the film and can be distinguished as separate cells, although with reduced haemoglobin content indicated by their yellow shade. The example D is similar to the previous images (A & B) but with better preservation and granulation of the neutrophil.
Distinguishing parasites on thick films
Parasite identification on thick films often seems challenging to those who have not looked at thick films before. It is important to realise however the main point - parasites still appear as recognisable organisms, but not necessarily as well-preserved and detailed as you may be used to on thin films. Some example appearances of small trophozoites are shown below to illustrate this:
-
A
-
B
Image above (A & B): A single parasite: the parasite (arrowed in second image) is an early trophozoite of P.falciparum; how is it recognised? It is recognisably derived from a ring with the chromatin dot and cytoplasm both present with the staining characteristics of colour that we expect from thin films; however, some features are not seen: the vacuole is missing, the chromatin dot and cytoplasm are slightly separate, and there is no erythrocyte so size must be inferred and we cannot comment on red cell dots or distortion. We are therefore missing many clues used on thin films. While difficult to distinguish from the debris this is a trophozoite. Confirmation can be sought by viewing more field looking for similar parasite forms (see images below C to F).
You may wish to click on the image to allow a more detailed view then use the back button on the browser to return to the image.
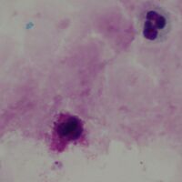
-
C
-
D
Images C & D: Two parasites with additional features (lymphocyte, neutrophil and mainly platelets). Note that although features are less well preserved compared with a thick film they can be recognised.
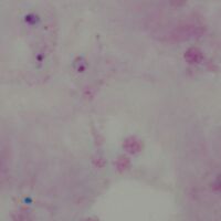
-
E
-
F
Images E & F: Three parasites with debris mainly fibrin and red cell material with occasional platelet.