Actions

Thick films - parasites identification

From MalariaETC


Navigation
>Main Malaria Index
>>Thick film - main page
>>>Current page: Parasite identification using thick films


Recognising specific parasite features on malaria thick films


In some species and parasite forms the morphology will be better preserved allowing a more confident identification and assignment of either parasite developmental stage, species or associated species. This can vary within the preparation according to the thickness of the preparation and the relative rsistance to lysis. Some examples are given below:

NOTE: the images are at relatively low magnification - to view them properly please click on the image to view in larger annotated form, then use the "back" button on your browser to return to the referring page.


Early trophozoite forms (P.ovale)

The early trophozoites shown on this thick-film image are well preserved with a well-defined chromatin dot and cytoplasm; in contrast to many examples found on thick films the infected red cell has resisted complete lysis allowing its outline to be distinguished and also the frequent (although less well defined) James' dots to be seen (as well as a suggestion of gold/brown pigment). This makes it possible to infer the species as likely to be P.ovale or P.vivax although a thin film would provide much greater diagnostic confidence and is recommended for species identification.


Late trophozoite forms (P.vivax and P.ovale)

These examples show slightly better preservation than the early trophozoites in the previos example. Further supporting the detection of "species-specific" parasite features. For example A (P.vivax) the two visible parasite are large and almost fill the erythrocyte with irregularity of parasite form that distorts the ring shape; this accompanied by distortion of the shape of the containing erythrocyte and by the suggesion of Schuffner's dots in the red cell cytoplasm. The example cells in image B (P.ovale) also have large paraites with cytoplasmic dots in the erythrocyte, but with a relatively preserved ring form and round but fimbriated red cells.


Schizont forms

Recognition of schizonts on thick films follows the same principle as on thin films - namely the recognition of cases where repeated cycles of replication result in the presence of multiple chromatin dots (generally requiring more than two dots, allowing schizonts to be distinguished from double-dot trophozoites). The disruption and lack of red cell outline that often occurs in thick films can complicate schizont recognition but schizont forms may nonetheless be identified. This is shown in the two examples (A and B) In each case the number of identifiable chromatin dots is relatively small but each has at least 4 recognisable discrete dots consitent with schizont origin.


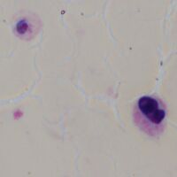
Gametocyte forms

The elongated and often curved gametocytes of P.falciparum (A) are distinctive and easily recognised on thick films since the differ markedly from other features. However, the more round chromatin/cytoplasmic shape of the gametocytes in other species is more challenging to recognise, although the presence of malaria pigment can help draw attention to them and distinguish them from poorly preserved lymphocytes (B).


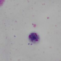
Malaria pigment

Malaria pigment may be lost from parasites during thick film preparation so is not always observed. However, when present it can be highly distictive based on colour and density and is not a feature of normal blood films. When observed within parasitised erythocytes (as in image A) the pigment can allow their identification irrespective of the ability to otherwise recognise the parasite (in fact this is almost certainly a gemetocyte of P.malariae with a typical circumferential pigment distribution). Pigment may also be observed taken up by phagocytic cells (B) where it is a good indicator of likely malaria infection (see phagocytosed malaria pigment).