Actions

Plasmodium falciparum: Morphology

From MalariaETC

Navigation
>Main malaria Index
>Main Species identification page


Plasmodium falciparum morphology


P.falciparum infection occurs in tropical and subtropical areas of Central and South America, Africa, and S.E.Asia; this resembles the distribution of P.malariae and overlaps, but is distinct from, the distribution of P.vivax and P.ovale.



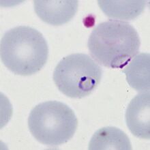
The early trophozoite


For P.falciparum this stage is characterised by fine ring forms with few other changes to red cell or parasite.

  • Ring forms are fine and delicate and may be the sole form present (synchronicity)
  • Frequently the red cells contain multiple parasites
  • Parasites may have a distinctive "double dot" or signet ring form
  • Parasites may appear on the accolé forms that appear flattened against the cell membrane
  • Affected red cells have normal size and haemoglobin content


GALLERY: P.falciparum early trophozoites



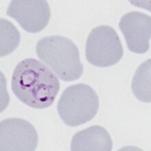
The late trophozoite


The later growth stage of trophozoites where parasites modification of the erythrocyte is seen with characteristic added dots and possible minor changes to red cell form:

  • Parasites resemble early ring forms, but are thicker and may be slightly larger
  • Additional blue/grey dots and clefts are seen in red cell cytoplasm when stained correctly
  • These dots have low number a characteristic "dot" or "line" form Maurer's dots and clefts
  • Size and shape of infected red cells is usually unaffected, but may become crenated
  • The double dot, accolé, and multiple parasite forms remain present


GALLERY: P.falciparum late trophozoites



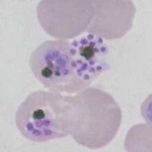
The schizont


The schizont is the asexual form of the malaria parasite that will circulate in blood in most species, but is an uncommon feature in P.falciparum:

  • Do not generally circulate in this species consider causes
  • The merozoites cluster "untidily" but may be numerous (8-16+ when mature)
  • In this species the loose pigment may be seen in clumps between the parasites
  • Red cell size is generally unaffected but red cells become pale as haemoglobin is metabolised by the parasites


GALLERY: P.falciparum schizonts



The gametocyte



The sexual replication in P.falciparum is very distinctive and may be the only form visible (particularly of after treatment).

  • Male and femaie gametocytes have the appearance of rods.
  • The rod shapes may become curved by the red cell membrane to give the characteristic "banana" form”.
  • The residual membrane (empty of haemoglobin) is often seen as a "blister" to one or both sides of the parasite.
  • The single chromatin area is in the centre of the parasite, often hasn malaria pigment overlying it.


GALLERY: P.falciparum gametocytes