Actions

Synchronous parasite development

From MalariaETC


Navigation
>Return to previous page

Synchronous development of parasites

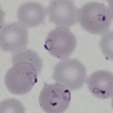
In some malaria infections (particularly with P.falciparum or with P.knowlesi) there may be only a single parasite stage visible in blood – this is most often the early trophozoite stage. This process is partly a reflection of the interesting phenomenon of “synchronicity” of parasite development.

P.falciparum commonly the sole parasite stage visible will be early trophozoites

While the precise reasons and mechanisms of synchronicity are not fully clear, the biological effects can be clearly seen in some cases where the stages of invasion of erythrocytes, their asexual replication, then their escape from schizonts each occur in unison. The process appears to reflect the normal circadian rhythms of host hormones, with changes seen to affect both in gene expression and parasite behaviour. This synchronicity results in parasites in blood reflecting only a single stage.

It is thought that the fevers in malaria are caused by the sudden antigen load that occurs during schizont release

The release of merozoites from mature schizonts also causes release of pigment and other parasite material that can cause an abrupt immune activation and pyrexia

Therefore, when schizont release is synchronous it can lead to the recognised phenomena of periodic fevers: e.g. in P.falciparum infection untreated individuals may exhibit fever cycles,with a 48-hour cycle so the periodicity corresponding to periods of abrupt schizont release (“tertian malaria”). This is not absolute with some infections appearing synchronous and others not.