P.falciparum early trophozoites gallery
From MalariaETC
| Navigation |
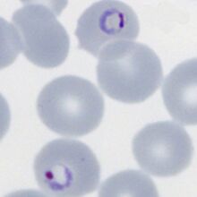
P.falciparum
Small delicate rings that may be the only forms seen in some patients at diagnosis. Infected red cells have normal (or slightly crenated) appearance.
-
Typical fine ring form
-
Double dot form and fine ring
-
Accolé and double dot forms
-
Multiple parasites within red cell
"