Actions

Plasmodium vivax: Morphology

From MalariaETC

Revision as of 21:21, 10 December 2024 by Admin (talk | contribs) (Created page with "{{DISPLAYTITLE:<span style="position: absolute; clip: rect(1px 1px 1px 1px); clip: rect(1px, 1px, 1px, 1px);">{{FULLPAGENAME}}</span>}} {| class="wikitable" style="width: 60%; border-style: none; border-width: 0px; border-color: gainsboro; color:black" |style = "font-size:110%; color:black; background: gainsboro |'''Navigation'''</br> |- |<span style="font-size:110%">>Main malaria Index''</span></br> |- |<span style="font-size:110%">>Species_identi...")
(diff) ← Older revision | Latest revision (diff) | Newer revision → (diff)
Navigation
>Main malaria Index
>Main Species identification page

Morphology of Plasmodium falciparum
(See Malaria Biology pages for an explanation of these stages)



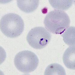
The early trophozoite


The earliest growth stage, this is characterised by fine ring forms with few other changes to red cell or parasite.

  • Ring forms are fine and delicate and may be the sole form present (synchronicity)
  • Frequently the red cells contain multiple parasites
  • Parasites may have a distinctive "double dot" or signet ring form
  • Parasites may appear on the accolé forms that appear flattened against the cell membrane
  • Affected red cells have normal size and haemoglobin content





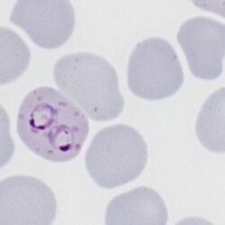
The late trophozoite


The later growth stage of trophozoites where parasites modification of the erythrocyte is seen with characteristic added dots and possible minor changes to red cell form:





The schizont


The schizont is the asexual form of the malaria parasite that will circulate in blood in most species, but is an uncommon feature in P.falciparum:

  • Do not generally circulate in this species unless overwhelming infection
  • The merozoites cluster "untidily" but may be numerous (8-16+ when mature)
  • In this species the loose pigment may be seen in clumps between the parasites
  • Red cell size is generally unaffected but red cells become pale as haemoglobin is metabolised by the parasites





The gametocyte



The sexual replication in P.falciparum is very distinctive and may be the only form visible (particularly of after treatment).

  • male and femaie gametocytes have the appearance of rods although these may be distorted
  • The rod shapes may become curved by the red cell membrane to give the characteristic "banana" form
  • The residual membrane (empty of haemoglobin) is often seen as a "blister" to one or both sides of the parasite
  • The single chromatin area is in the centre of the parasite, often has pigment overlying it