Actions

Plasmodium falciparum: Morphology: Difference between revisions

From MalariaETC

No edit summary
No edit summary
Line 14: Line 14:




<gallery mode="nolines" widths=200px heights=200px>
<gallery mode="nolines" widths=300px heights=300px>
File:PFETc.jpg|link={{filepath:PFETc.jpg}}
File:PFETc.jpg|link={{filepath:PFETc.jpg}}
File:PFET3g.jpg|link={{filepath:PFET3g.jpg}}
File:PFET3g.jpg|link={{filepath:PFET3g.jpg}}

Revision as of 10:37, 9 December 2024


Navigation
Main malaria Index
>>Main Species identification page
This page: Plasmodium falciparum detailed description


Plasmodium falciparum


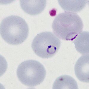
The early trophozoite




The earliest growth stage, this is characterised by fine ring forms and few other changes, this may be the only form seen in this species:

  • Ring forms are fine and delicate and may be the sole form (synchronicity)
  • Frequently the red cells contain multiple parasites
  • Parasites may have a distinctive "double dot" or signet ring form
  • Parasites may appear on the accolé forms that appear flattened against the cell membrane
  • Affected red cells have normal size and haemoglobin content


Click for P.falciparum early trophozoite gallery


The late trophozoite




The later growth stage where parasites begin to modify the erythrocyte, causing characteristic changes with added dots and minr changes to red cell form:


Click for P.falciparum late trophozoite gallery



The schizont



The schizont is the asexual form of the malaria parasite in blood - for a detailed description see the "Biology of malaria" section in the main menu:

  • Do not generally circulate in this species unless overwhelming infection
  • The merozoites cluster "untidily" as they develop
  • Schizonts develop progressively to form 8-16 merozoites when mature
  • In this species the loose malaria pigment may be seen in clumps between the parasites
  • Red cell size is generally unaffected but red cells become pale as haemoglobin is metabolised by the parasites


Click for P.falciparum schizont gallery



The gametocyte




The sexual replication form (very distinctive).

  • male and femaie gametocytes are elongated and have the appearance of rods
  • They parasites are rod shaped but the membrane may cause them to curve into a “"banana" form
  • The residual membrane (empty of haemoglobin) is often seen as a "blister" to the side of the parasite
  • The single chromatin area is in the centre of the parasite, often has pigment overlying it
  • Gametocytes may not be be seen, or may be the only form present (particularly after treatment)


Click for P.falciparum gametocyte gallery