Actions

Staining pH description

From MalariaETC


Navigation
>Previous Page

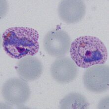
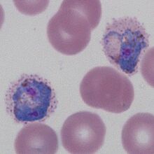
Effect of stain pH on parasite appearance



The best detection and species identification in malaria is made when staining is performed at a slightly more alkaline pH than is usually employed (pH 7.4). This pH makes parasites more visible since the surrounding red cells become grey, and structures such as cytoplasmic dots are made more visible. Although parasites and additional features are detectable using standard staining pH allowing both parasite-detection and species-identification both processes are more readily performed at pH7.4.



Trophozoites of P.vivax stained at pH7.4 (A) or pH6.9 (B ad C). Note that staining at alkaline (pH 7.4) gives the red cell a pale blue/grey colour when compared to the acidic conditions (pH 6.9), with these conditions making both the trophozoite and the added cytoplasmic dots more visible. Where pH7.4 is used the key features of parasite shape and red cell morphology can still be seen, but parasites may be less evident and dots fainter (B) or absent (C).