Actions

Re-infection of the mosquito

From MalariaETC


Navigation
>Main Malaria Index
>>Malaria Biology Index
>>>Current page: Sexual replication


Re-infection of the host


When a mosquito feeds from a malaria infected host, the blood meal will contain parasites of all forms. Importantly these forms include male and female gametocytes. The pH and temperature changes with the mosquito midgut cause the gametocytes to gain full sexual maturity (gametogenesis). The male gametocyte then undergoes 3 cycles of division to generate 8 male sexual forms (gametes). These then 8 gametes then "break out" of the male microgametocytes in a process known as exflagellation, and fuse with the female oocyte (derived from the macrogametocyte). Then following successful fusion move to the next stage of development with the mosquito gut wall. Finally the parasite enter the salivary glands of the mosquito as sporozoites where a new infection can be initiated.


Relevance to blood

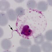
If samples of blood undergo delayed spreading then the changes to pH and temperature caused by storage may partly mimic the conditions within the mosquito midgut leading to changes that would only normally be seen in the mosquito. Some may be difficult to recognise but are clearly atypical in appearance, others such as "exflagellation" have very clear appearances. It is important to be able to recognise these forms as they can cause confusion and mis-diagnosis.

NOTE These changes are only observed if blood film preparation is delayed - these are instructive for the changes that occur within the mosquito, but may occasionally these may be encountered in laboratory practice and can cause confusion.

To an extent these changes resemble those that take place within the mosquito midgut. The initial stage involves both the male microgametocytes and female macrogametocytes swelling and becoming more globular. The stage shown in (A) may represent an oocyte although it is not certain (these often clump together). The following stages are quite recognisable for the male gametocte as the male gametes burst from the erythrocytes in the process of exflagellation this may be seen as the early emergence (B), red cell swelling and disollution (C) and emergence of the gametes (D).