Actions

Plasmodium vivax: Morphology

From MalariaETC

Navigation
>Main malaria Index
>Main Species identification page

Plasmodium vivax

P.vivax is considered a parasite of Central and South America, India and S.E.Asia. The low frequency of the Duffy antigen (that facilitates the entry of P.vivax into erythrocytes) means that this species has lower frequency in Africa. Aside from this however Plasmodium vivax infection occurs across the widest geographic area of all the human malarias, extending well into temperate climates. This behaviour is enabled by the dormant stage in the human liver, where the parasite can "rest", allowing it to survive mosquito-free cold seasons when transmission and propagation in the mosquito-host is not possible.



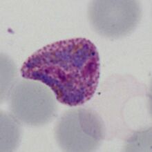
The early trophozoite


The earliest ring forms in this species may be indistinguishable from other species, but during the early trophozoite stage the parasite begins to aquire a more irregular forms and to modify the erythrocyte and added dots, altered size and shape begin to be present.

  • Erythrocytes begin to show increased cell size
  • Parasites retain a ring form but may aquire a more irregular form
  • Parasites are generally large - occupying up to half of the erythrocyte
  • Cytoplasmic Schüffner's dots may appear at this stage, although pigment is less uncommon


GALLERY: P.vivax early trophozoites



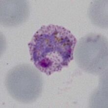
The late trophozoite


The later growth stage during which parasites grow considerably and lose their ring appearance aquiring more irregular and complex shapes. This process is accompanied by substantial modification of the red cell and metabolism of haemoglobin to form malaria pigment.

  • Infected erythrocytes become significantly enlarged and irregular in shape
  • Parasites lose their ring appearance becoming irregular and "amoeboid" in form
  • Numerous red/purple Schüffner's dots are present in the cytoplasm of red cells
  • malaria pigment is often present and has an irregular distribution


GALLERY: P.vivax late trophozoites



The schizont


The asexual stage of malaria parasite development - only some trophozoites form schizonts, but those that do undergo successive cycles of replication within the red cell to generate multiple "merozoites" that then each invade a new red cell to continue and increase the infection.

  • a range of maturing schizonts will generally be present within enlarged red cells
  • when mature schizonts may contain 16-24 separate merozoites
  • Schüffner's dots can be detected in any residual cytoplasm of the erythrocyte
  • Malaria pigment is visible in irregularly distributed clumps over the schizont surface


GALLERY: P.vivax schizonts



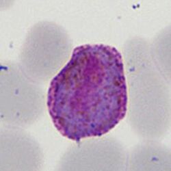
The gametocyte


The macrogametocyte and microgametocyte sexual replication form are similar to P.ovale

  • red cells are very large and may have round, ovoid or distorted forms
  • macrogametocytes (female form) will often entirely fill the erythrocyte
  • microgametocytes (male form) have a cytoplasmic rim with visible Schüffner's dots
  • Malaria pigment is clumped evenly over the surface of the gametocyte


GALLERY: P.vivax gametocytes