Actions

Amoeboid form main

From MalariaETC


Navigation
>Previous Page

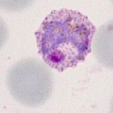
Amoeboid forms

As trophozoites of P.vivax mature, they lose their ring form and acquire an irregular form that is said to resemble an amoeba with extended processes. Other features of the species such as enlarged irregular red cells and typical Schuffner's dots also develop at the same time. This parasite appearance is fairly specific for P.vivax that is helpful to indicate this diagnosis. Early signs may be seen in early trophozoites.


Amoeboid forms: an early trophozoite begins to become more irregular though still a partly recognisable "ring" (A); this late trophozoite has a more typical irregular "amoeboid" form (B)