Actions

Phagocytosed malaria pigment

From MalariaETC


Navigation
>Previous Page

Phagocytosis of malaria pigment

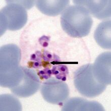
Malaria pigment is formed by parasites to detoxify the iron portion of digested haemoglobin, appearing as an insoluble brown or golden clump. Following schizont rupture this insoluble material is released into the circulation. Below is an image of a rupturing schizont, the red cell membrane will soon lose its integrity releasing both merozoites the pigment (arrowed) will also be released into blood.


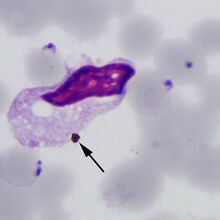
The released pigment is seen as "foreign" material by the immune system and is recognised and ingested by phagocytes (neutrophils or monocytes) where it appears in the cytoplasm and may be visible on thin or thick malaria film preparations. The appearance has some species-specificity, but of more importance when found it should be regarded as evidence to support malaria infection.