Gallery of early trophozoites
From MalariaETC
Navigation
>Main Malaria Index
>>Galleries Index Page
>>>Current page: Gallery of early trophozoites
Gallery of Early Trophozoites
At this very earliest developmental stage all trophozoites appear as ring forms. In the earliest forms any differences between species rely most on size and thickness such that species differences are very difficult to distinguish - however in many cases recognisable "species specific" features begin to appear as parasites mature toward late trophozoite stages.
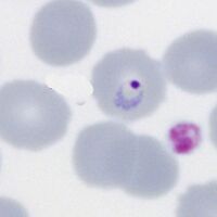
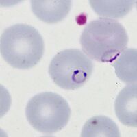
P.falciparum
Small delicate rings, and may be the only forms seen in some patients at diagnosis. The infected red cells have normal (or slightly crenated) appearance.
-
Fine ring form
-
Double dot form and normal ring
-
Accolé and double dot forms
-
Multiple parasite form
"
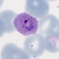
P.vivax
Rings begin as small forms, but become larger asociated with enlarged distorted red cells as they develop. Schüffner's dots will appear during this stage.
-
Early ring form
-
Early ring form with faint dots
-
Large thickened ring trophozoite
-
Ring/amoeboid trophozoites, Schüffner's dots
"
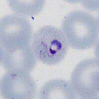
P.ovale
The "ring" shape is retained but becomes larger and thicker, red cells may develop fimbriation and enlarged ovoid form with visible James' dots as development progresses.
-
Early ring form
-
Ring with dots/fimbriation
-
faint James' dots
-
Ring early ovoid change
"
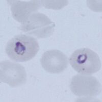
P.malariae
Infected red cells are generally infrequent. Early trophozoites are small in normal or small erythrocytes, and may have central chromatin dot, elongation or angular forms.
-
Ring form in small red cell
-
The central chromatin dot
-
Early elongation, Ziemann's dots
-
Early angularity of form
"
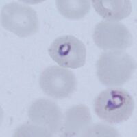
P.knowlesi
The early trophozoite may resemble P.falciparum and infected cells may be frequent. Later forms however begin to resemble parasites of P.malariae.
-
Fine early rings
-
Double dot (right)
-
Accolé form
-
Multiple infection