Actions

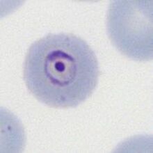
Central chromatin dot

From MalariaETC


Navigation
>Previous Page

Central chromatin dot form

Early or late trophozoites in which the chromatin dot lies within the central vacuole of the parasite are observed with higher frequency in P.malariae than with other species, and though not fully characteristic of the species they contribute to diagnosis if other features ae consistent.



Central chromatin dot may also be seen in cells infected by other species; shown for P.falciparum, P.ovale (note the James' dots), or P.vivax (with prominent Schüffner's dots and visible pigment).