Actions

Banana gametocyte description

From MalariaETC


Navigation
>Previous Page
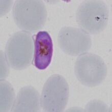
"Banana" gametocyte

The gametocyte stage of P.falciparum has the form of a round-ended rod. The rod is slightly longer than a red cell so becomes curved by the red cell membrane and is often described a "banana shaped". This is particularly the case for longer macrogametocytes, and less so for the microgametocytes. The remaining red cell membrane (now with no haemoglobin) can often be seen on the concave side of the parasite.


A clear banana form is typical of P.falciparum indicating that diagnosis - although other features must fit, and be sure to exclude artefact.

This squashed and distorted trophozoite is from P.vivax that has been compressed by the red cells around it. The signs of external compression and but also the presence of Schüffner's dots in the cytoplasm of the red cell should make it clear that this is not P.falciparum.