P.falciparum early trophozoites gallery: Difference between revisions
From MalariaETC
No edit summary |
No edit summary |
||
| Line 10: | Line 10: | ||
<span style="font-size:110%">''' ''P.falciparum'' '''</span></br></br> | <span style="font-size:110%">''' ''P.falciparum'' '''</span></br></br> | ||
<span style="font-size:90%">Small delicate rings, and these '''may be the only forms seen in some patients at diagnosis'''. Infected red cells have normal (or slightly crenated) appearance.</br> | <span style="font-size:90%">Small delicate rings, and these '''may be the only forms seen in some patients at diagnosis'''. Infected red cells have normal (or slightly crenated) appearance.</br> | ||
<gallery mode="nolines" heights= | <gallery mode="nolines" heights=240px widths=240px> | ||
File:PFET1g.jpg|<span style="font-size:80%">Typical fine ring form</span>|link={{filepath:PFET1g.jpg}} | File:PFET1g.jpg|<span style="font-size:80%">Typical fine ring form</span>|link={{filepath:PFET1g.jpg}} | ||
File:PFET2g.jpg|<span style="font-size:80%">Double dot form and fine ring</span>|link={{filepath:PFET2g.jpg}} | File:PFET2g.jpg|<span style="font-size:80%">Double dot form and fine ring</span>|link={{filepath:PFET2g.jpg}} | ||
Revision as of 13:25, 22 December 2024
| Navigation |
>BACK
P.falciparum
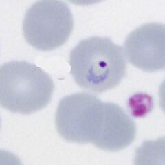
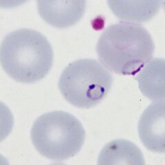
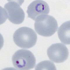
Small delicate rings, and these may be the only forms seen in some patients at diagnosis. Infected red cells have normal (or slightly crenated) appearance.
-
Typical fine ring form
-
Double dot form and fine ring
-
Accolé and double dot forms
-
Multiple parasites within red cell
"