Plasmodium vivax: Morphology: Difference between revisions
From MalariaETC
No edit summary |
No edit summary |
||
| Line 69: | Line 69: | ||
*a range of maturing schizonts will generally be present within enlarged red cells | *a range of maturing schizonts will generally be present within enlarged red cells | ||
*when mature schizonts may contain 16-24 separate merozoites | *when mature schizonts may contain 16-24 separate merozoites | ||
*[[Added dots main|Schüffner's dots]] can be detected in any residual cytoplasm of the erythrocyte | *[[Added dots main|Schüffner's dots pv]] can be detected in any residual cytoplasm of the erythrocyte | ||
*[[Malaria pigment|malaria pigment]] is visible in irregularly distributed clumps over the schizont surface | *[[Malaria pigment|malaria pigment pv]] is visible in irregularly distributed clumps over the schizont surface | ||
</br> | </br> | ||
<div style="width: 350px"> | <div style="width: 350px"> | ||
| Line 94: | Line 94: | ||
*macrogametocytes (female form) will often entirely fill the erythrocyte | *macrogametocytes (female form) will often entirely fill the erythrocyte | ||
*microgametocytes (male form) have a cytoplasmic rim with visible Schüffner's dots | *microgametocytes (male form) have a cytoplasmic rim with visible Schüffner's dots | ||
*[[Malaria pigment|malaria pigment]] is clumped evenly over the surface of the gametocyte | *[[Malaria pigment pv|malaria pigment]] is clumped evenly over the surface of the gametocyte | ||
</br> | </br> | ||
<div style="width: 350px"> | <div style="width: 350px"> | ||
Revision as of 17:54, 16 December 2024
| Navigation |
| >Main malaria Index |
| >Main Species identification page |
Morphology of Plasmodium vivax
(See Malaria Biology pages for an explanation of these stages)
The early trophozoite
The earliest ring forms may be indistinguishable from other species, but during this stage the parasite tends to aquire a more irregular forms and to show signs of modification of the erythrocyte (added dots, and altered size and shape).
- erythrocytes begin to show increased cell size
- parasites retain a ring form but may aquire a more irregular form
- parasites are generally large - occupying up to half of the erythrocyte
- cytoplasmic Schüffner's dots may appear at this stage, although pigment is less uncommon
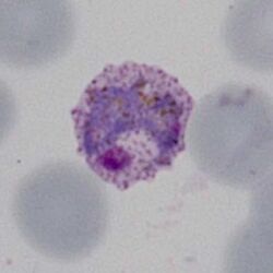
The late trophozoite
The later growth stage during which parasites grow considerably and lose their ring appearance, this process is accompanied by substantial modification of the red cell and metabolism of it's haemoglobin to form malaria pigment.
- infected erythrocytes become significantly enlarged and irregular in shape
- parasites lose their ring appearance becoming irregular and "amoeboid" in form
- numerous red/purple Schüffner's dots are predent in the cytoplasm of red cells
- malaria pigment is often present and has an irregular distribution
The schizont
The asexual stage of malaria parasite development - only some trophozoites form schizonts, but those that do undergo successive cycles of replication within the red cell to generate multiple "merozoites" that then each invade a new red cell to continue and increase the infection.
- a range of maturing schizonts will generally be present within enlarged red cells
- when mature schizonts may contain 16-24 separate merozoites
- Schüffner's dots pv can be detected in any residual cytoplasm of the erythrocyte
- malaria pigment pv is visible in irregularly distributed clumps over the schizont surface
The gametocyte
The sexual replication form (very distinctive).
- red cells are very large and have ovoid or distorted forms
- macrogametocytes (female form) will often entirely fill the erythrocyte
- microgametocytes (male form) have a cytoplasmic rim with visible Schüffner's dots
- malaria pigment is clumped evenly over the surface of the gametocyte