Actions

Plasmodium ovale: Morphology

From MalariaETC

Navigation
>Main malaria Index
>Main Species identification page

Plasmodium ovale

P.ovale has a relatively restricted distribution – Mainly believed to affect West Africa, Phillipines, Indonesia and Papua New Guinea, although a wider occurrence is likely. Like P.vivax, the resting hynozoite stage supports late recrudescence and allows the parasite to exist in more temperate environment that P.facliparum.



The early trophozoite


During this later growth stage the rings enlarge and begin to modify the erythrocyte, forming typical features of the species.

  • Generally large rings forms, red cells not usually multiply infected
  • Red cells begin to enlarge and may have ovoid or fimbriated apearance
  • James' dots (morphologically indistinguishable from Schüffner's dots) begin to appear
  • Pigment will not generally be detected at the early trophozoite stage


GALLERY: P.ovale early trophozoites



The late trophozoite


As parasites grow but generally retain their general ring shape, maturation is accompanied by clear modification of red cells to become ovoid and/or fimbriated; metabolism of haemoglobin causes malaria pigment to form.

  • Parasites become larger and thickened, although the ring form is generally retained
  • Red cell enlargement may lead to the ovoid fimbriated form often described as "comet forms"
  • James' dots will now be prominent in appropriately stained specimens
  • Pigment will now be seen over the surface of the parasite


GALLERY: P.ovale late trophozoites



The schizont


The asexual schizont stage of development will often be identified in the blood of this species, while smaller than P.vivax, species-specific features may not be clearly seen.

  • A range of "schizont forms" will generally be present within moderately enlarged red cells
  • When mature schizonts may contain 16-24 separate merozoites
  • James' dots may be detected in any residual cytoplasm of the erythrocyte
  • Pigment will be visible in irregularly distributed clumps


GALLERY: P.ovale schizonts



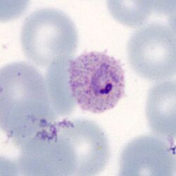
The gametocyte


The macro and micro gametocytes in this species resemble those of P.vivax although generally smaller. Some species-specific features may be seen.

  • Red cells will generally enlarged and may have ovoid or fimbriated form
  • Macrogametocytes (female form) will often entirely fill the erythrocyte
  • Microgametocytes (male form) have a cytoplasmic rim with visible James' dots
  • Malaria pigment is often circumferential around the gametocyte


GALLERY: P.ovale gametocytes