Actions

Plasmodium malariae: Morphology

From MalariaETC

Navigation
>Main malaria Index
>Main Species identification page

Plasmodium malariae
P. malariae infection overlaps geographically with the distribution of P.falciparum in areas that include sub-Saharan Africa, Southeast Asia, Indonesia, the western Pacific and in areas of the Amazon Basin of South America.




The early trophozoite


During this later growth stage the rings enlarge and begin to modify the erythrocyte, forming typical features of the species.

  • Small but well-formed rings are typically seen sometimes with a central chromatin dot or elongation
  • Red cells are generally of normal size, though occasionally may have reduced volume
  • Pigment will not generally be present at this developmental stage


GALLERY: P.malariae early trophozoites



The late trophozoite


In this species the parasite form changes significantly as the mature, characteristically elongating or becoming more angular, red cells may often appear smaller though not distorted.




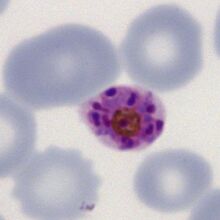
The schizont


Often present in the blood, these small schizont forms may have species-specific features.

  • These are often seen in this species – the number of individual merozoites is often low (around 8)
  • The central area of clumped pigment may have merozoites arranged to form a “daisy head” appearance
  • At this stage the erythrocyte is devoid of haemoglobin and the small size is readily detected


GALLERY: P.malariae schizonts




The gametocyte


The sexual replication form in this species tend to be small, neat, and round.

  • Gametocytes tend to be regular and round in shape.
  • The parasites are small and do not generally fill the erythrocyte
  • Haemoglobin is absent and scattered pigment overlies or surrounds the gametocyte


GALLERY: P.malariae gametocytes