Gallery of gametocytes
From MalariaETC
Navigation
>Main Malaria Index
>>Galleries Index Page
>>>Current page: Gallery of gametocytes
Gallery of Gametocytes
Gametocytes essentially have "microgametocyte" (male) or "macrogametocyte" (female) appearance. For most species the gametocyte is round or slightly angular with species differences mainly reflected in the size of the red cell or parasite, although red cell dots may be seen in P.vivax or P.ovale. The exception is the P.falciparum parasite that has an elongated rod form that may become curved by the residual erythroid membrane - sometimes called the "banana" form..
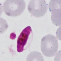
P.falciparum
Rod shaped gametocytes may be straingh and blunt (mainly the shorter "microgametocytes") or curved by the red cell membrane producing a curved and more pointed end (banana form). Pigment generally overlies the central chromatin area.
-
Macrogametocyte, curved by the red cell membrane
-

Microgametocytes, a blunt rod, red cell membrane is "floppy"
-
Large merozoites
-
Large merozoites
"
P.vivax
Charactertically large and Schüffner's dots may be seen. The merozoites tend to pack the red cell with numbers up to 16-32 in mature merozoites. Pigment has diffuse distribution. Images show a maturing sequence.
-
Similar to previous, note Schüffner's dots
-
Maturing form with separate merozoites
-
Large mature form, note patchy pigment
"
P.ovale
Share many features with P.vivax and may not be easy to distinguish, tend not to be as large with fewer merozoites (up to 16). Ovoid shape and fimbriation of red cells may be present together with James' dots. Pigment has a patchy distribution.
-
Early small form note James' dots
-
Early form, merozoites still form a single mass
-
Small mature form with separated merozoites
-
Mature larger form, note ovoid shape
"
P.malariae
Small and often neat parasites with few merozoites when mature (generally around 8). Often there is a central clump of pigment with merozoites arranged around this (daisy head appearance).
-
Early schizont with multiple chromatin dots
-
A daisy with merozoites around central pigment
-

A less well formed daisy, note small size
-
Late form prior to merozoite release
"
P.knowlesi
Similar in appearance to P.malariae. The forms tend to be small with relatively few merozoites present. Pigment tend to form a clump.
-
Early form with few chromatin masses
-
Almost a daisy with central clumped pigment