Co-infection with two species
From MalariaETC
Navigation
Main Malaria Index
>RDT main page
>>Single Band Tests
>>>Current page: Co-infection with two species
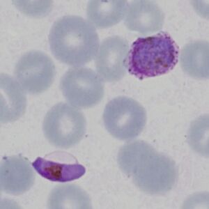
| Dual species infection
Recogition by morphology requires the presence of parasite forms that have recognisable species-specific features for two separate species. This may sometimes be easy, but can be challenging when one species predominates. Some examples are shown below:
Image A: two gametocytes in separate red cells. These clearly have different appearances - one has the elongated and curved form typical of P.falciparum, while the second is "round" with visible round bametocytecytoplasmic dots and fimbriation of the red cell - appearances of P.ovale.</br< |